치아살리기 치료

전악재건술

전악재건술란?

사람은 누구나 세월이 지나면서 구강의 변화를 겪게 됩니다. 치아는 오랜기간동안 저작을 하면서 닿는 면이 닳게 되면서 짧아지면서 경사각도 평평해집니다. 또 치아의 색깔은 탁해지고 잇몸도 자연스럽게 퇴축됩니다. 또 치열도 바뀌게 되는데 치아가 이동하면서 치아 사이가 벌어지거나 튀어 나오게 되며 심한 경우에는 치아를 잃게 되면서 치아의 간격과 치아 위치가 급격하게 이동하면서 치주가 급속도로 나빠지게 됩니다.

전악재건술은 이렇게 노화된 치아와 치열을 젊은 상태로 되돌리는 치주, 보철, 보존, 교정 등의 각 치과 과목들이 융합되고 고도화되어야만 가능한 종합치료술입니다.

전악재건술

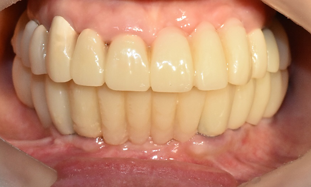
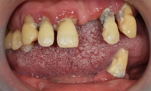
이OO님 전후사진 | 치료 기간 : 7개월

치료 전

로그인 후 이용해주세요

전후사진은 회원 로그인 후 확인 가능합니다.
로그인하기

치료 후