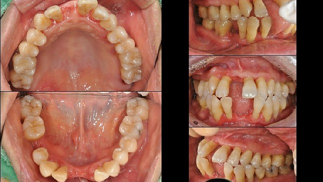
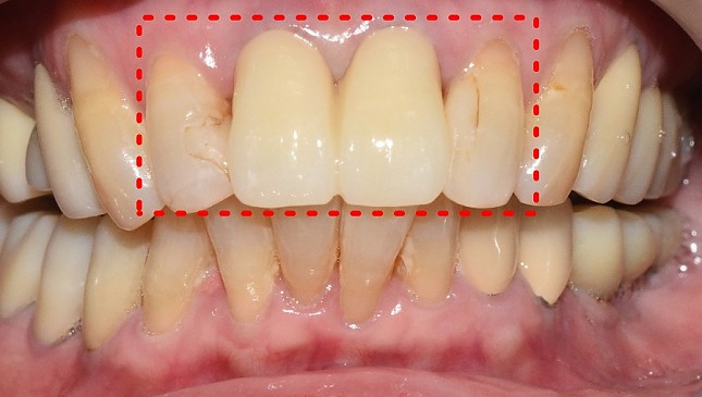
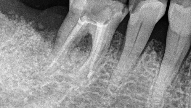
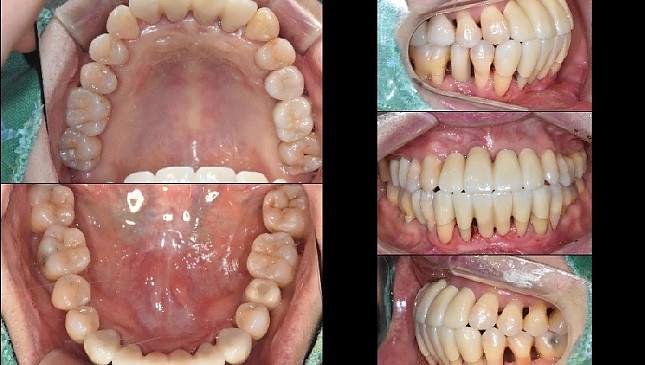
치아살리기 치료 전후 사진
흉내는 낼 수 있지만 몇 십 년간의 노하우는 따라 올 수 없습니다.
치아살리기 치료 특별함
치아살리기의 압도적 결과는 헌신하는 의료진의 결실입니다.
-
01연구 30년,
시술 20년의 임상경험 -
02분야별 특화된
원장간 협진 -
03정기 케이스
프리젠테이션 -
04치아살리기
특화된 장비 -
05전문 치과위생사로만
구성 -
069단계
멸균소독시스템 -
07전 직원 감염관리
정기교육 -
08압도적 입소문
잇몸재생교정 치료 전후사진
잇몸 전체가 무너져 동시다발적으로 죽어가던 치아들을 한꺼번에 살려 냅니다.
실제 후기로 확인하는 만족도
언론에서 보는 치아살리기
SMS 빠른상담 신청
-
2020 소비자가 뽑은 올해의 브랜드 대상
Brand Selected By Consumer -
2021 한국 고객만족도 1위
Korea Customer Satisfaction Index -
2021 한국브랜드 만족지수 1위
Korea Satisfaction Brand Index -
우리동네 좋은치과
대한치과의사협회 공식인증 -
네오임플란트
전국 증례 공모전 대상



