치아살리기 치료

잇몸살리기

잇몸치료란?

잇몸질환이 진행되면, 잇몸의 염증은 물론이고 치아뿌리에 치석이 낄 뿐만 아니라 뿌리의 표면에 성분적 변형도 변형됩니다. 치주 염증과 치아 뿌리의 치석 제거는 물론이고 변질된 치아표면을 제거하고 건강한 조직으로 재생시킵니다.

치주 질환이 심하게 진행되어 일반적인 치료로는 뿌리 쪽 염증까지 제거가 쉽지 않겠다 판단되면 부득이 잇몸을 치아와 치조골에서 들어내어 치아와 치조골 주위의 치석과 염증을 제거하기도 합니다.

잇몸치료

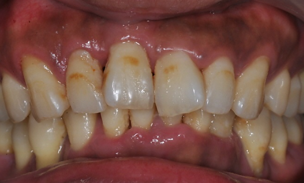
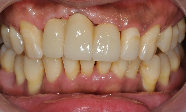
홍OO님 전후사진 | 치료 기간 : 4주

치료 전

로그인 후 이용해주세요

전후사진은 회원 로그인 후 확인 가능합니다.
로그인하기

치료 후